Филипчук Дарья Олеговна
Дарья Олеговна, благодаря профессиональным навыкам врача-ортодонта, проводит диагностику и лечение аномалий прикуса, положения зубов, височно-нижнечелюстного сустава опираясь на нейромышечную концепцию. Доктор проводит лечение с помощью современных методов и аппаратуры, как у детей, так и у взрослых. Дарья Олеговна обладает коммуникативными и организационными способностями для взаимодействия с пациентами и коллегами, что приводит к положительным результатам: эстетически привлекательной улыбки и здоровой функции жевательной системы. Доктор поддерживает пациентов на всех этапах лечения при длительных процессах коррекции прикуса.
СПЕЦИАЛИЗАЦИЯ И ПРОФЕССИОНАЛЬНЫЕ НАВЫКИ
- • осмотр полости рта и сбор анамнеза: Оценка состояния зубов, челюстей, мышц и ВНЧС;
- • анализ рентгенологических исследований, КТ, ТРГ, МРТ для точной диагностики;
- • слепки и 3D-сканирование: снятие оттисков для создания моделей челюстей и использования цифровых технологий;
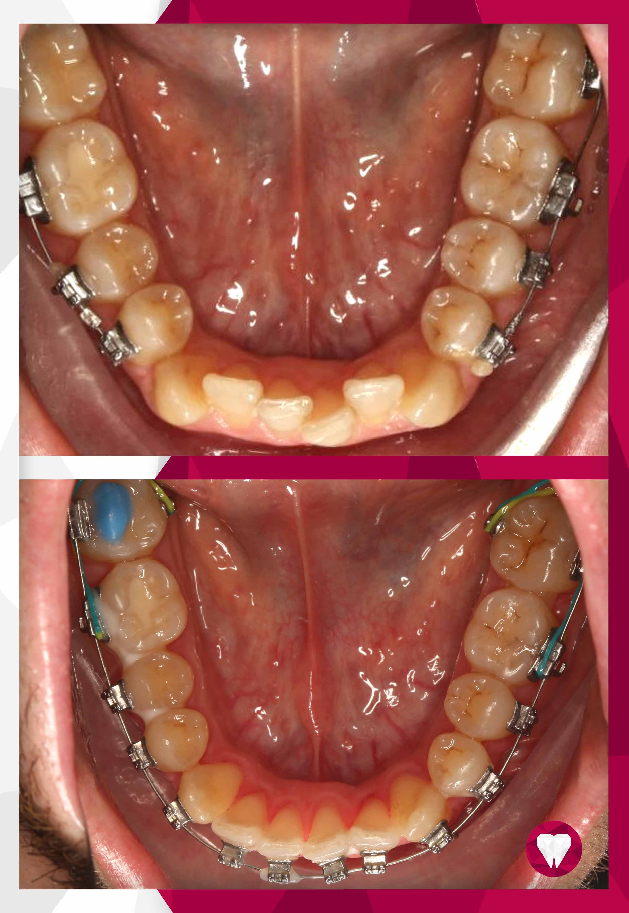
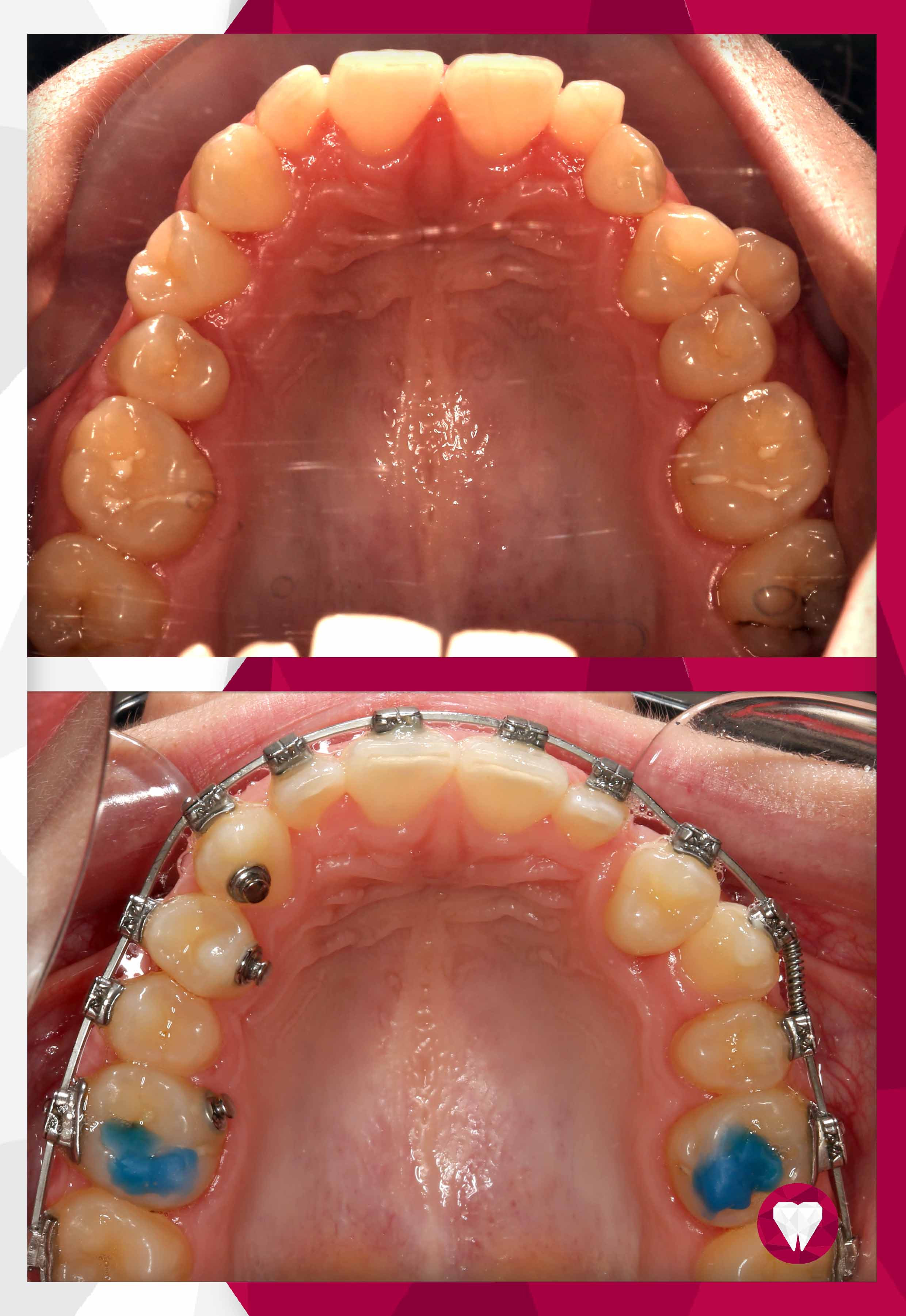
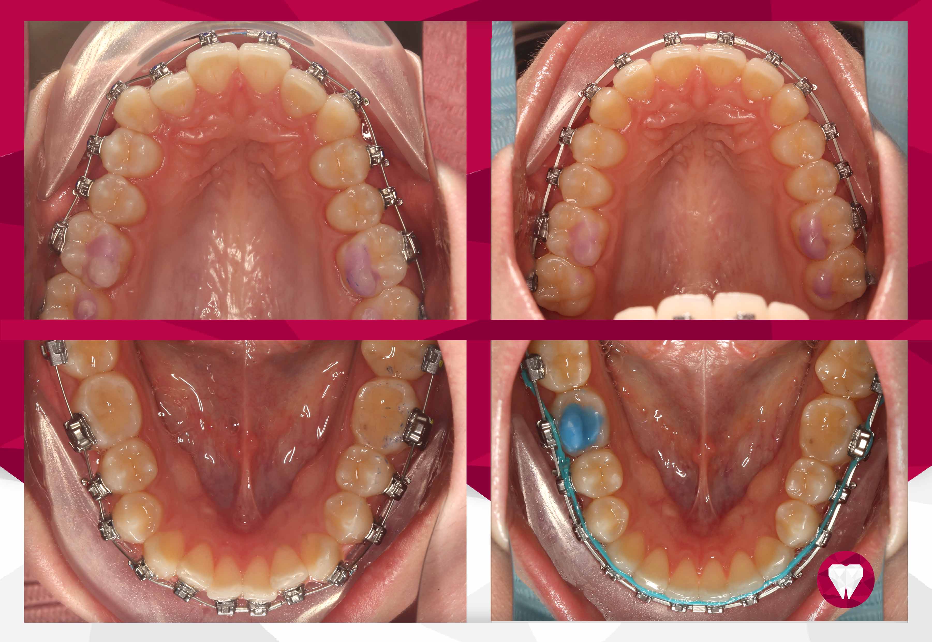
- • работа с ортодонтическими аппаратами: самологирующие брекеты, элайнеры, минивинты, съемные пластинки, миофункциональные аппараты;
- • планирование лечения: расчет и составление индивидуальных планов, учитывающих анатомию пациента и особенности его организма;
- • работа в команде: взаимодействие с другими врачами (хирургами, ортопедами, остеопатами) для комплексного лечения ортодонтических пациентов;
Образование и профессиональная переподготовка
1) РОССИЙСКАЯ ФЕДЕРАЦИЯ Федеральное государственное автономное образовательное учреждение высшего образования «Российский национальный исследовательский медицинский университет имени Н.И. Пирогова» Министерства здравоохранения Российской Федерации г. Москва 2023г
Диплом врача-стоматолога по специализации «СТОМАТОЛОГИЯ» 2023г
2) Федеральное государственное бюджетное образовательное учреждение высшего образования "Российский университет медицины" Министерства здравоохранения Российской Федерации г. Москва 2024г.
Диплом о профессиональной переподготовки по программе: Data science «Основы анализа данных» 2024г.
3) РОССИЙСКАЯ ФЕДЕРАЦИЯ федеральное государственное бюджетное образовательное учреждение высшего образования «Российский университет медицины» Министерства здравоохранения Российской Федерации г. Москва 2025г.
Диплом об окончании ординатуры по специализации «ВРАЧ-ОРТОДОНТ» 2025г.






