Климова Ксения Евгеньевна
Ксения Евгеньевна стоматолог-терапевт, специализирующийся на комплексном решении проблем с ротовой полостью, обладающий знаниями и навыками в области лечения, эстетического восстановления зубов с 2013г. Ксения Евгеньевна владеет методиками терапевтического лечения зубов с применением операционного микроскопа– это дает возможность максимально точно визуализировать клиническую картину, что в разы увеличивает точность процедур и улучшает результаты. Использование микроскопа в стоматологической практике открывает новые возможности в диагностике и лечении зубных заболеваний. Оно позволяет минимизировать риск ошибок, улучшить прогноз лечения и увеличить срок службы зубов.
Диплом врача-стоматолога по специальности «СТОМАТОЛОГИЯ» 2012г.
• Государственное бюджетное образовательное учреждение высшего профессионального образования «Алтайский государственный медицинский университет» Министерства здравоохранения и социального развития Российской Федерации г Барнаул.
Диплом о послевузовском профессиональном образовании (ИНТЕРНАТУРА)
Специальность «СТОМАТОЛОГИЯ ОБЩЕЙ ПРАКТИКИ» 2013г.
• Государственное бюджетное образовательное учреждение высшего профессионального образования «Алтайский государственный медицинский университет» Министерства здравоохранения и социального развития Российской Федерации г Барнаул.
СЕРТИФИКАТ СПЕЦИАЛИСТА
Специальность «СТОМАТОЛОГИЯ ОБЩЕЙ ПРАКТИКИ» 2013г.
• Общество с ограниченной ответственностью «Многопрофильная академия развития и технологий » г. Москва
СЕРТИФИКАТ СПЕЦИАЛИСТА
Специальность «Стоматология терапевтическая» 2019г.
• Федеральное государственное бюджетное учреждение «Центральная государственная медицинская академия» Управления делами Президента Российской Федерации г. Москва
УДОСТОВЕРЕНИЕ О ПОВЫШЕНИИ КВАЛИФИКАЦИИ
«Стоматология терапевтическая» 2021г.
СПЕЦИАЛИЗАЦИЯ И ПРОФЕССИОНАЛЬНЫЕ НАВЫКИ
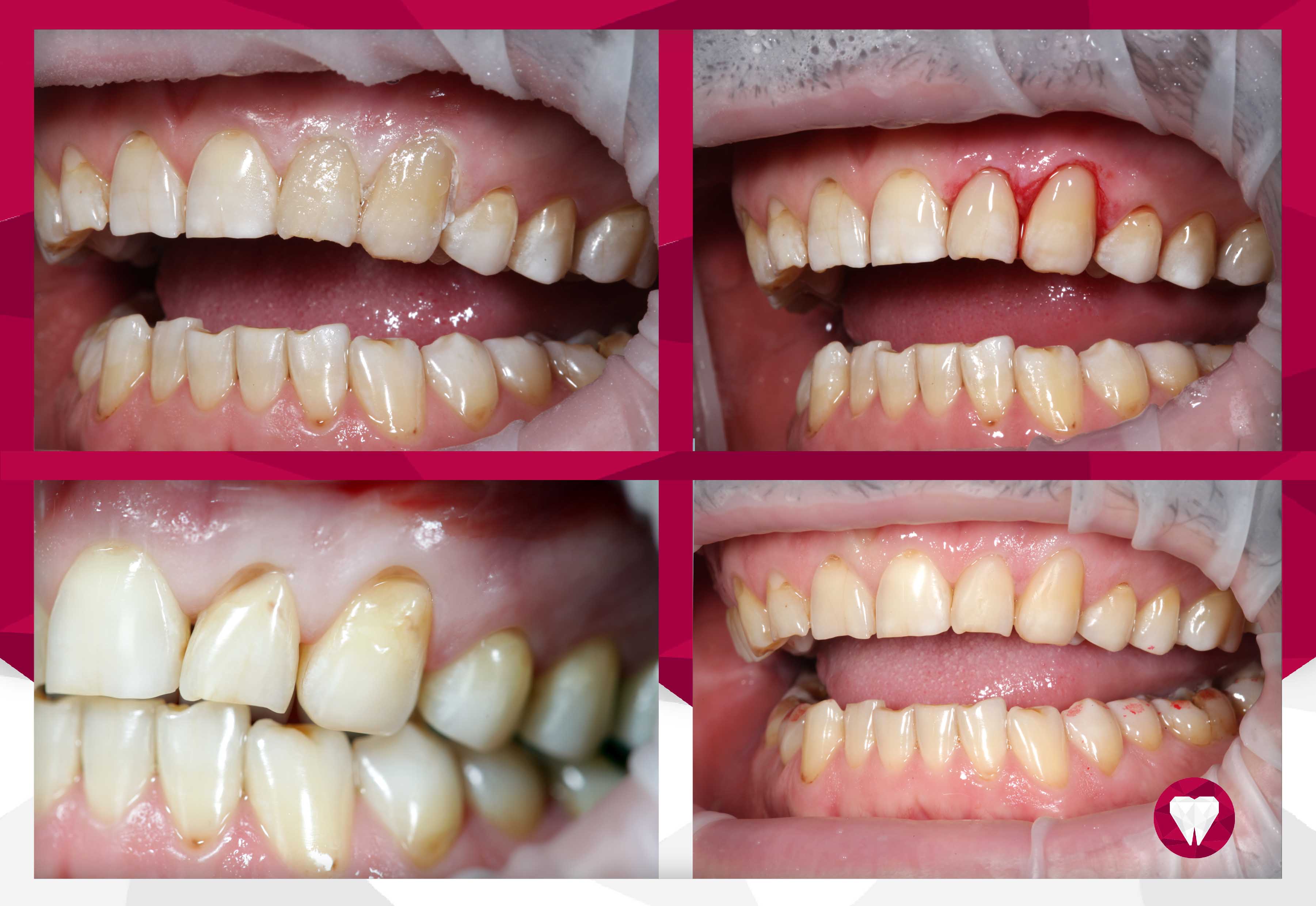
Ксения Евгеньевна поможет вам в следующих направлениях- • осмотр пациента, диагностика заболеваний зубов и десен;
- • терапевтическое лечение зубов с применением операционного микроскопа;
- • комплексное лечение;
- • подготовка полости рта к протезированию;
- • восстановление функций зубочелюстной системы пациента;
- • эстетическое восстановление зубов;
- • эндодонтическое лечение зубов (лечение или удаление пораженного нерва);
- • профессиональная гигиена, удаление зубных камней и отбеливание зубов;
ОБРАЗОВАНИЕ И ПРОФЕССИОНАЛЬНАЯ ПЕРЕПОДГОТОВКА:
• Государственное бюджетное образовательное учреждение высшего профессионального образования «Алтайский государственный медицинский университет» Министерства здравоохранения и социального развития Российской Федерации г Барнаул.Диплом врача-стоматолога по специальности «СТОМАТОЛОГИЯ» 2012г.
• Государственное бюджетное образовательное учреждение высшего профессионального образования «Алтайский государственный медицинский университет» Министерства здравоохранения и социального развития Российской Федерации г Барнаул.
Диплом о послевузовском профессиональном образовании (ИНТЕРНАТУРА)
Специальность «СТОМАТОЛОГИЯ ОБЩЕЙ ПРАКТИКИ» 2013г.
• Государственное бюджетное образовательное учреждение высшего профессионального образования «Алтайский государственный медицинский университет» Министерства здравоохранения и социального развития Российской Федерации г Барнаул.
СЕРТИФИКАТ СПЕЦИАЛИСТА
Специальность «СТОМАТОЛОГИЯ ОБЩЕЙ ПРАКТИКИ» 2013г.
• Общество с ограниченной ответственностью «Многопрофильная академия развития и технологий » г. Москва
СЕРТИФИКАТ СПЕЦИАЛИСТА
Специальность «Стоматология терапевтическая» 2019г.
• Федеральное государственное бюджетное учреждение «Центральная государственная медицинская академия» Управления делами Президента Российской Федерации г. Москва
УДОСТОВЕРЕНИЕ О ПОВЫШЕНИИ КВАЛИФИКАЦИИ
«Стоматология терапевтическая» 2021г.





